哈喽,大家好,超声科普时间又又双叒叕来了!
随着现代医学的飞速进步,超声已经成为了临床医师的一双“慧眼”,使很多疾病的诊断不再是雾里看花、水中望月。

也许你做了N次超声检查,但是如果有人问你,彩超和B超有啥子不一样?四维彩超是不是比二维、三维看得更清楚?更高端?更洋气?
瓜子、花生、小板凳,我来和你摆个龙门阵...

彩超≠彩色电视
在我们的工作中,经常会遇到有一些乖乖儿问:医生,这个咋个没得颜色呢?我交的是彩超的费用哒。
乖乖些,彩超不是彩电!不是彩电!不是彩电!

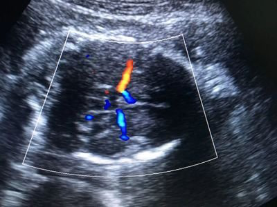
所谓彩超,就是彩色多普勒血流成像,英文缩写就是CDFI。简单的说,就是在二维显像的基础上,以实时彩色编码显示血流的方法,把向着探头方向流动的血流,显示为红色,把远离探头方向流动的血流,显示为蓝色。

而且,不管是红色还是蓝色,颜色越亮,代表血流的速度越快。
机灵的小伙伴可能已经又总结出了一点:哦~原来红色和蓝色代表的是血流方向,不是动脉和静脉呀!

但是我们超声医生检查的时候,并不是一直都需要看彩色血流信号的,而几乎都是先看二维超声上的解剖结构,当找到需要查看血流信号的兴趣区时,我们就会加上CDFI,这个时候你再看屏幕,它就成了彩色的啦!
一句话,彩超就是二维超声和血流信号的结合,大大提高了超声诊断率哟!
四维彩超是不是比二维、三维看得
更清楚?更高端?更洋气?
这么给你们说吧,二维我们主要拿来看你肚子里面宝宝的器官结构的,比如手手脚脚长出来了没有啊,有没有畸形啊,这些问题。
三维彩超就是通过容积数据重建的一个宝宝的颜面部的轮廓,你也可以把他(她)想象成一个捏出来的泥娃娃一样,看得到表面的样子轮廓,但是颜色是单一的,画面是静止的。
而四维彩超,也叫实时三维,是在三维彩超的基础上加了时间轴,通俗点讲,就是把三维的图像录成一个小视频了,如果你足够幸运,你将有机会看到你的宝宝在笑、打豁嗨、吃手指妹儿等等一系列的萌动作哟。

由此看来,这三种检查不能简单的说哪一种更好,他们各有所长,至于具体选择哪一种就要根据你的需求来决定。
不论是三维还是四维,都是合成的一张相给准妈妈、准爸爸看的,根本的根本是你首先要弄清楚,你们做的是不是胎儿系统超声检查,也就是Ⅲ级筛查,这个才是针对胎儿器官结构的系统大排畸!如果你只想单纯的给肚子里面的小宝宝拍个照片什么的,那三维四维是OK的!

好了,说了这么多,相信你们对超声又有了一些新的认识,也许当你身边的孕妈妈在纠结这些问题的时候,你也可以给她来个小小的科普哟!
题外话 :曾经有个妹儿对到我喊“师傅,搞快点嘛,医生要下班了!”

趁此机会,我还想为广大超哥超妹儿些澄清一下,我们虽然属于超声科,我们也不开药,但是我们确实是医生,不豁你,这是国家认证的,有证书的哟!而且不仅我们,放射科也是哦!

撰稿:超声科主治医师-石亚平;
核稿:超声科负责人-方茜;
图片源于网络。